
Analytical Instrumentation
Latest News

Latest Videos

More News

Spectroscopy is playing a sizable role in expanding the capabilities of remotely operated and manned submersibles. A recently published nonfiction book highlights the advancements made in deep-sea exploration technology, and we discuss spectroscopy's role in all of this.

Discover how an improved wavelet denoising technique enhances methane detection accuracy in TDLAS systems, optimizing signal quality and reducing noise.

The StellarScope AM/PA Raman Particle Analyzer, launched by StellarNet Inc., is an advanced analytical platform that merges automated mapping with particle analysis.

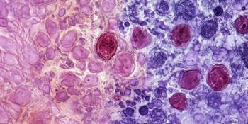
Recently, a team of researchers from Portugal examined a new method that could improve accessibility to kidney disease diagnostics.

A new study highlights terahertz (THz) metamaterials as a promising non-invasive, highly sensitive technology for improving food safety testing in agriculture.

Researchers at the National Research Council (CNR) in Rome have developed a compact spectroscopic sensor and machine learning system that can accurately recognize beverages in smart cups or glasses.

The U.S. Department of Energy’s Pacific Northwest National Laboratory’s (PNNL) VaporID, which is a newly developed portable air sampling system incorporating a miniaturized mass spectrometer (MS), can detect trace levels of fentanyl, methamphetamine, cocaine, and even explosives like TNT with great accuracy.

A new study published in the Journal of South American Earth Sciences reveals how microbial activity, low pH conditions, and sediment chemistry in Brazil’s São Carlos Shale uniquely preserved diverse Upper Cretaceous fossils, offering fresh insights into the paleoenvironment of the Bauru Basin.


A new study published in the journal Food Chemistry by lead authors Qian Zhao and Jun Huang from Zhejiang University of Science and Technology unveil a new data-driven framework for predicting resistant starch content in rice

A recent study developed new photoacoustic probes to better visualize oxidative stress during acute liver injury.

This product review covers products introduced from May 2024 to April 2025.

Jiangxi Agricultural University researchers use AI and vis-NIRS to predict meat quality and freezing duration with high accuracy.

Researchers at Delft University of Technology have developed a novel method using single compound spectra to enhance the transferability and accuracy of Raman spectroscopy models for real-time fermentation monitoring.

Researchers from Gifu Pharmaceutical University and Gifu University Hospital unveil a novel polaprezinc (PLZ) mucoadhesive film designed to replace painful lozenges for cancer patients.

On April 9th, Marama Labs, a scientific instrument company with offices in Wellington, New Zealand, and Dublin, Ireland, announced in a press release the launch of its new CloudSpec instrument.

This study compares the sensitivity of CIE Lab values, peak area, and yellowness index for the determination of color attributes among a set of white and stained seashells exposed to tea tannins.

A new study published in Talanta introduces SYSPECTRAL, a portable multi-spectroscopic system that can conduct non-invasive, in situ chemical analysis of cultural heritage materials by integrating LIBS, LIF, Raman, and reflectance spectroscopy into a single compact device.

On Wednesday, March 5th, the Williams Wright Award will be presented to David W. Schiering of 908 Devices. We preview the award session here.

In this article, the basic principles, advantages, and limitations of different optical techniques for obtaining seed vigor estimates are introduced and reviewed, and the key technology of non-destructive optical detection of single seeds will be discussed.

A recent study from China explored a new, non-destructive method combining terahertz time-domain spectroscopy (THz-TDS) and machine learning to accurately classify wheat gluten strength.

A recent study demonstrated how to advance chemical education with decommissioned optical spectrometers.

A recent study examined how spectroscopic techniques, such as laser-induced breakdown spectroscopy (LIBS) and single-particle aerosol mass spectrometry (SPAMS), are monitoring indoor air quality.

Sirish Subash is the winner of the Young Scientist Award, presented by 3M and Discovery education. His work incorporates spectrophotometry, a nondestructive method that measures the light of various wavelengths that is reflected off fruits and vegetables.

Handheld instrumentation allows for on-site analysis without transporting samples to a laboratory, helping to reduce the cost and time of forensic investigations.







